menu
close

当院の症例

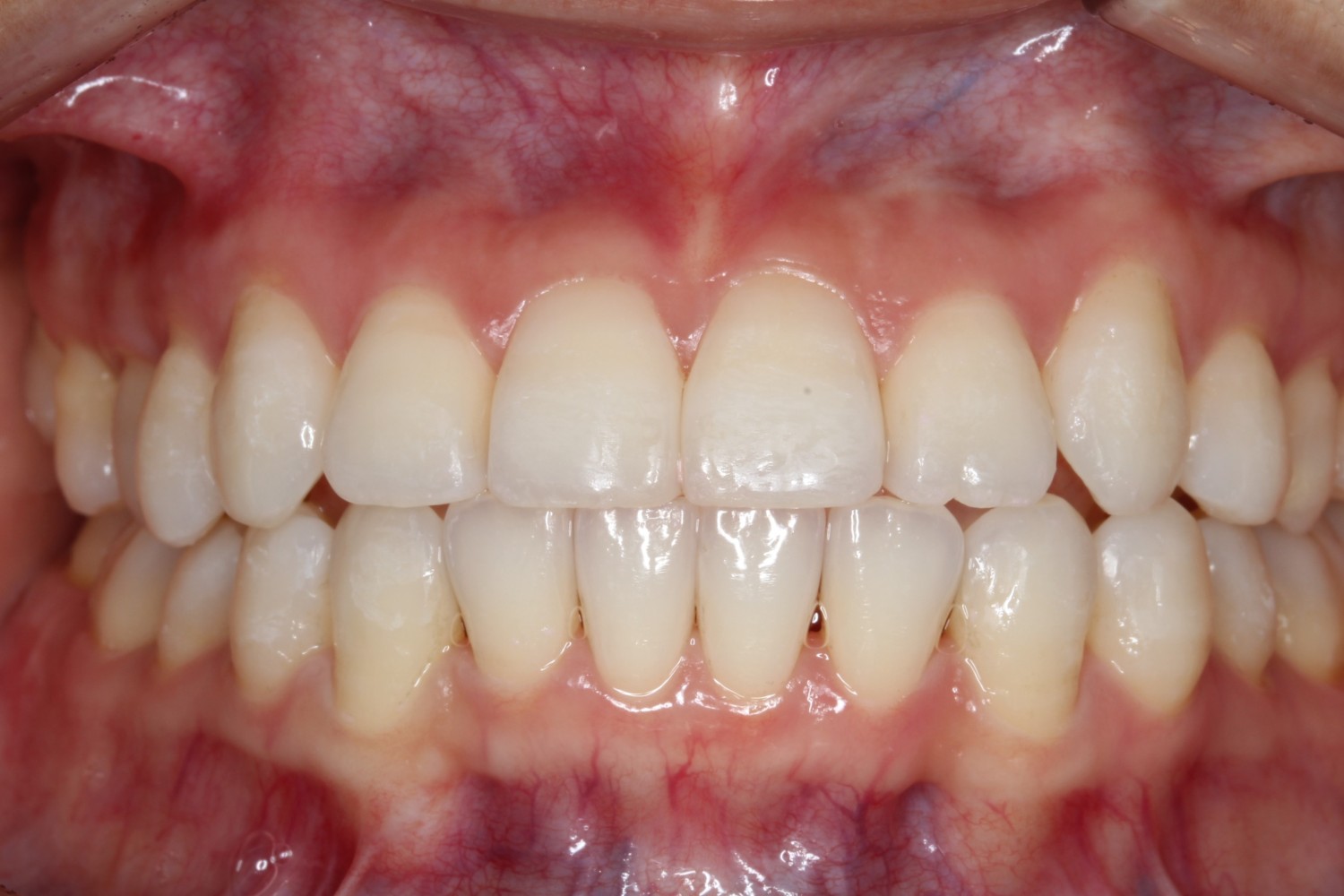
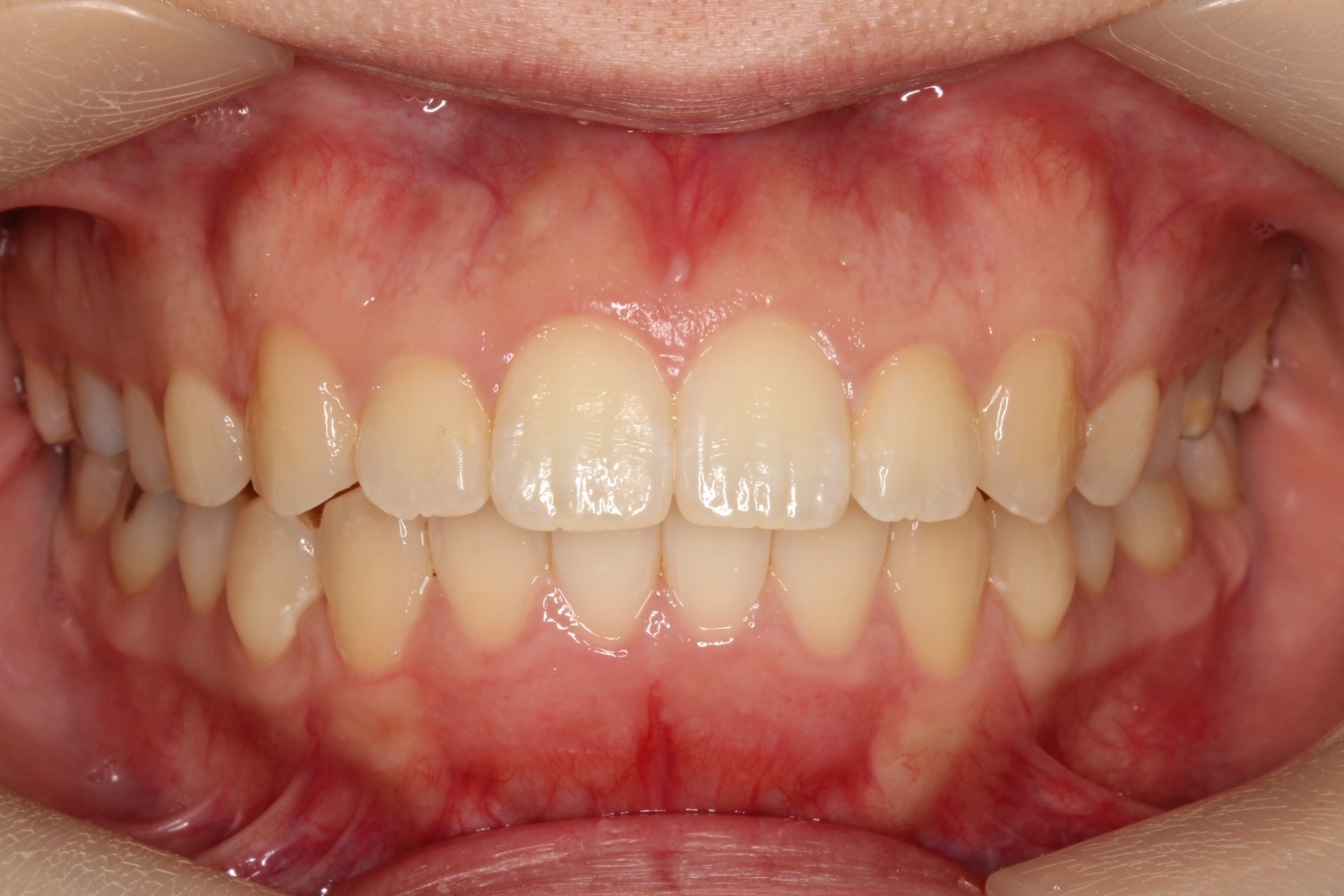
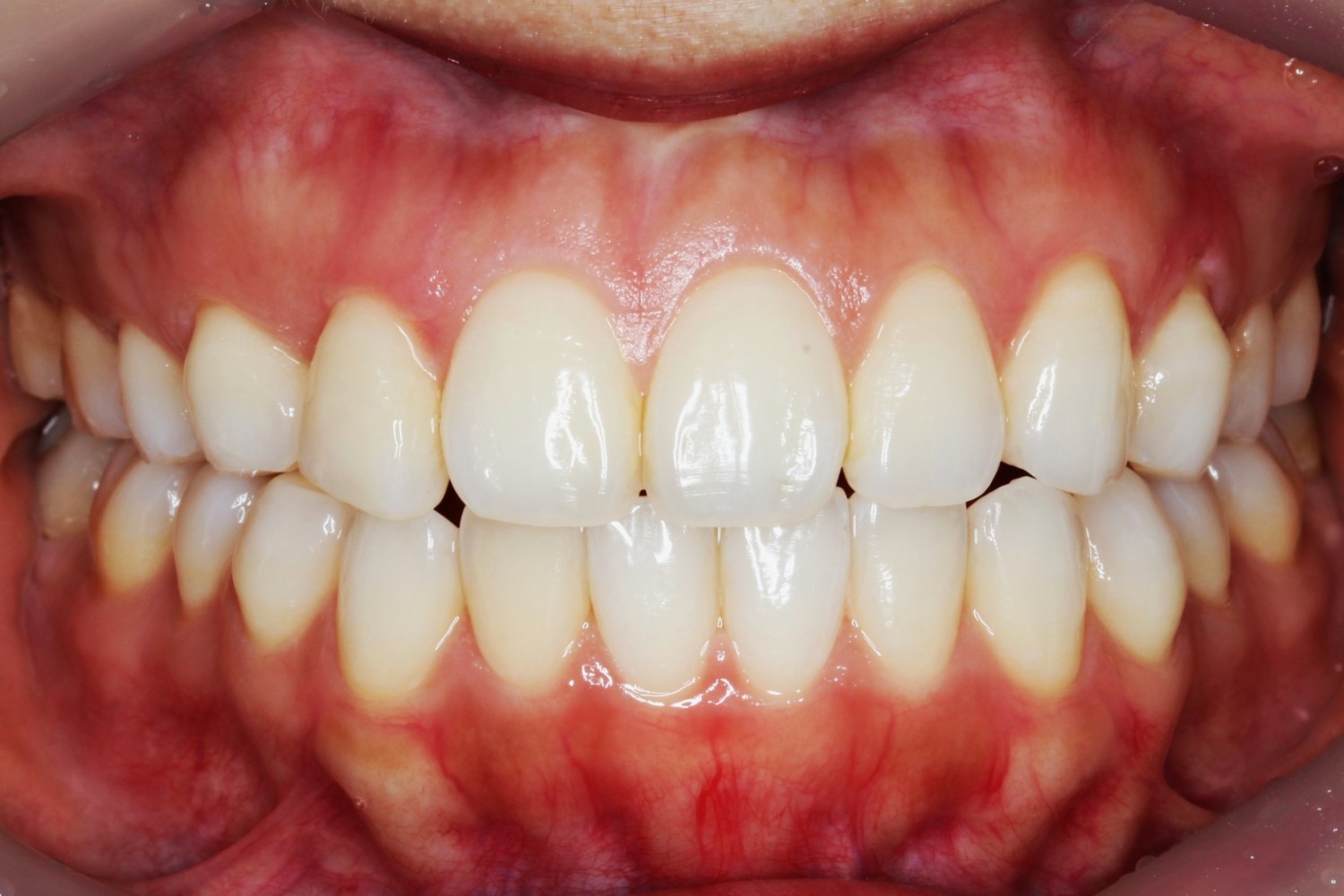
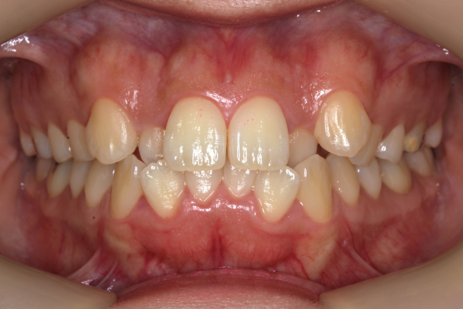
上顎前突・再矯正の症例(治療期間:約2年2か月/29回)

年齢層 20代
性別 女性
主訴 上の歯が出ている、矯正後の後戻り
治療費用 検査・診断:税込38,500円/裏側矯正治療(リンガル矯正):税込1,397,000円
治療期間 約2年2カ月(29回)
抜歯 有(上顎両側4番)
矯正の装置 裏側矯正(舌側矯正)
副作用、リスク 歯肉退縮,歯根吸収,疼痛,咬合の違和感,装置の違和感,虫歯,歯肉炎
上顎前突・裏側矯正

Before

上顎前突・裏側矯正

After

詳しく見る

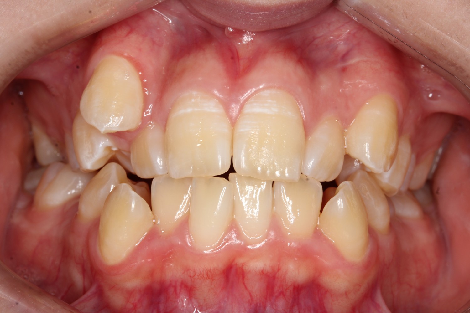
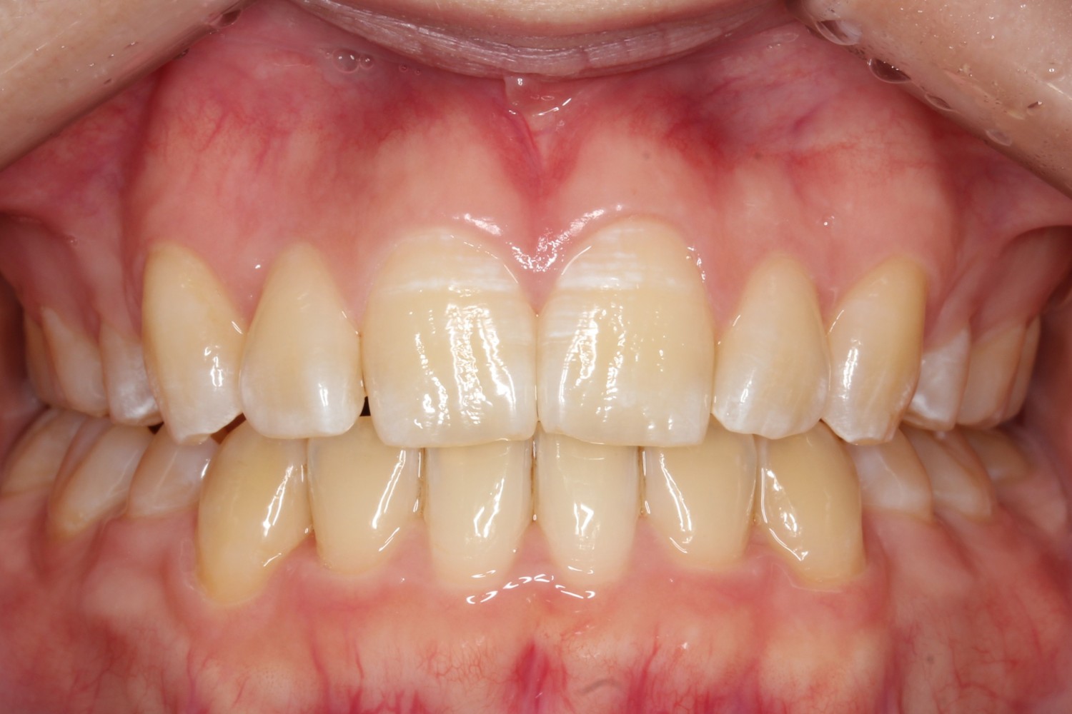
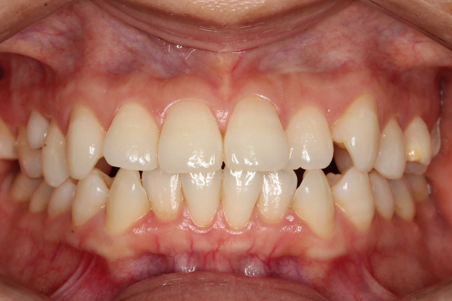
口元を下げたい(治療期間:2年9か月/通院:32回)

年齢層 20代
性別 女性
主訴 口元を下げたい
治療費用 検査・診断:税込38,500円/裏側矯正治療(リンガル矯正):税込1,397,000円
治療期間 2年9か月(32回)
抜歯 有(【上顎】左側4番、右側5番 【下顎】両側5番)
矯正の装置 検査・診断:税込38,500円/裏側矯正治療(リンガル矯正):税込1,397,000円
副作用、リスク 歯肉退縮,歯根吸収,疼痛,咬合の違和感,装置の違和感,虫歯,歯肉炎
口元を下げたい リンガル矯正

Before

口元を下げたい リンガル矯正

After

詳しく見る

上顎前歯の凸凹(治療期間:2年10ヶ月/通院:37回)

年齢層 20代
性別 女性
主訴 上顎前歯の凸凹
治療費用 検査・診断:税込38,500円/ハーフリンガル矯正(上:裏側/下:表側):税込1,287,000円
治療期間 2年10ヶ月(37回)
抜歯 有(上顎両側4番)
矯正の装置 ハーフリンガル矯正(上:裏側/下:表側)
副作用、リスク 歯肉退縮,歯根吸収,疼痛,咬合の違和感,装置の違和感,虫歯,歯肉炎
上顎前歯の凸凹 ハーフリンガル

Before

上顎前歯の凸凹 ハーフリンガル

After

詳しく見る

上下前歯の凸凹(治療期間:3年/通院:24回)

年齢層 30代
性別 女性
主訴 上下前歯の凸凹
治療費用 検査・診断:税込38,500円/マウスピース矯正(インビザライン):税込990.000円
治療期間 3年(24回)
抜歯 無(非抜歯)
矯正の装置 マウスピース矯正(インビザライン)
副作用、リスク 歯肉退縮,歯根吸収,疼痛,咬合の違和感,装置の違和感,虫歯,歯肉炎
上下前歯の凸凹 マウスピース矯正 インビザライン

Before

After

詳しく見る

上下の凸凹・噛み合わせが悪い(治療期間:3年6カ月/通院:20回)

年齢層 30代
性別 女性
主訴 上下の凸凹・噛み合わせが悪い
治療費用 検査・診断:税込38,500円/マウスピース矯正(インビザライン):税込990.000円
治療期間 3年6カ月(20回)
抜歯 無(非抜歯)
矯正の装置 マウスピース矯正(インビザライン)
副作用、リスク 歯肉退縮,歯根吸収,疼痛,咬合の違和感,装置の違和感,虫歯,歯肉炎
上下の凸凹 噛み合わせが悪い マウスピース矯正 インビザライン

Before

上下の凸凹 噛み合わせが悪い マウスピース矯正 インビザライン

After

詳しく見る

上下前歯の凸凹・噛み合わせが悪い(治療期間:11カ月/通院:15回)

年齢層 30代
性別 女性
主訴 上下前歯の凸凹・噛み合わせが悪い
治療費用 検査・診断:税込38,500円/ハーフリンガル矯正(上:裏側/下:表側):税込1,287,000円
治療期間 11カ月(15回)
抜歯 有(上顎両側4番)
矯正の装置 ハーフリンガル矯正(上:裏側/下:表側)
副作用、リスク 歯肉退縮,歯根吸収,疼痛,咬合の違和感,装置の違和感,虫歯,歯肉炎
上下前歯凸凹 噛み合わせが悪い ハーフリンガル矯正

Before

上下前歯凸凹 噛み合わせが悪い ハーフリンガル矯正

After

詳しく見る

上下前歯の凸凹(治療期間:1年3カ月/通院:13回)

年齢層 20代
性別 女性
主訴 上下前歯の凸凹
治療費用 検査・診断:税込38,500円/マウスピース矯正(インビザライン):税込990.000円
治療期間 1年3カ月(13回)
抜歯 無(非抜歯)
矯正の装置 マウスピース矯正(インビザライン)
副作用、リスク 歯肉退縮,歯根吸収,疼痛,咬合の違和感,装置の違和感,虫歯,歯肉炎
上下前歯の凸凹 インビザライン マウスピース矯正

Before

上下前歯の凸凹 インビザライン マウスピース矯正

After

詳しく見る

Eラインと噛み合わせの症例(治療期間:約2年6か月/33回)

年齢層 20代
性別 女性
主訴 口が開きづらい・噛み合わせ
治療費用 検査・診断:税込38,500円/ハーフリンガル矯正(上:裏側/下:表側):税込1,287,000円
治療期間 約2年6か月(33回)
抜歯 有(【上顎】両側4番、8番【下顎】両側5番)
矯正の装置 ハーフリンガル矯正(上:裏側/下:表側)
副作用、リスク 歯肉退縮,歯根吸収,疼痛,咬合の違和感,装置の違和感,虫歯,歯肉炎
Eライン・ハーフ矯正の症例

Before

Eライン・ハーフ矯正

After

詳しく見る

上下前歯の凸凹(治療期間:1年8か月/通院:20回)

年齢層 20代
性別 女性
主訴 上下前歯の凸凹
治療費用 検査・診断:税込38,500円/マウスピース矯正(インビザライン):税込990.000円
治療期間 1年8カ月(20回)
抜歯 無(非抜歯)
矯正の装置 マウスピース矯正(インビザライン)
副作用、リスク 歯肉退縮,歯根吸収,疼痛,咬合の違和感,装置の違和感,虫歯,歯肉炎
上下前歯の凸凹 インビザライン マウスピース矯正

Before

上下前歯の凸凹 インビザライン マウスピース矯正

After

詳しく見る

上下前歯の凸凹(治療期間:1年8カ月/通院:12回)

年齢層 20代
性別 女性
主訴 上下の前歯の凸凹
治療費用 検査・診断:税込38,500円/マウスピース矯正(インビザライン):税込990.000円
治療期間 1年8カ月(12回)
抜歯 有(上顎右側3番)
矯正の装置 マウスピース矯正(インビザライン)
副作用、リスク 歯肉退縮,歯根吸収,疼痛,咬合の違和感,装置の違和感,虫歯,歯肉炎
上下前歯の凸凹 インビザライン マウスピース矯正

Before

上下前歯の凸凹 インビザライン マウスピース矯正

After

詳しく見る

前歯の凸凹・八重歯(治療期間:1年10か月/通院:35回)

年齢層 20代
性別 女性
主訴 前歯が凸凹している・八重歯
治療費用 検査・診断:税込38,500円/ハーフリンガル矯正(上:裏側/下:表側):税込1,287,000円
治療期間 1年10カ月(35回)
抜歯 有(上顎両側4番、下顎両側4番)
矯正の装置 ハーフリンガル矯正(上:裏側/下:表側)
副作用、リスク 歯肉退縮,歯根吸収,疼痛,咬合の違和感,装置の違和感,虫歯,歯肉炎
前歯凸凹 八重歯 裏側矯正 リンガル矯正

Before

前歯凸凹 八重歯 裏側矯正 リンガル矯正

After

詳しく見る

前歯の凸凹・八重歯(治療期間:2年9か月/通院:19回)

年齢層 20代
性別 女性
主訴 前歯が凸凹している・八重歯
治療費用 検査・診断:税込38,500円/マウスピース矯正(インビザライン):税込990.000円
治療期間 2年9か月(19回)
抜歯 無(非抜歯)
矯正の装置 マウスピース矯正(インビザライン)
副作用、リスク 歯肉退縮,歯根吸収,疼痛,咬合の違和感,装置の違和感,虫歯,歯肉炎
前歯の凸凹 八重歯 マウスピース矯正 インビザライン

Before

前歯の凸凹 八重歯 マウスピース矯正 インビザライン

After

詳しく見る

歯の凸凹が気になる・上の前歯が出ている(治療期間:2年8カ月/38回)

年齢層 20代
性別 女性
主訴 歯の凸凹が気になる(叢生)・上の前歯が出ている(上顎前突)
治療費用 検査・診断:税込38,500円/ハーフリンガル矯正(上:裏側/下:表側):税込1,287,000円
治療期間 約2年8か月(38回)
抜歯 有(上顎両側4番、8番)
矯正の装置 ハーフリンガル矯正(上:裏側/下:表側)
副作用、リスク 歯肉退縮,歯根吸収,疼痛,咬合の違和感,装置の違和感,虫歯,歯肉炎
叢生・裏側矯正の症例

Before

上顎前突・裏側矯正の症例

After

詳しく見る

前歯の凸凹・口元を下げたい(治療期間:1年11カ月/通院:18回)

年齢層 20代
性別 女性
主訴 上下の前歯の凸凹・口元を下げたい
治療費用 検査・診断:税込38,500円/裏側矯正治療(リンガル矯正):税込1,397,000円
治療期間 1年11か月(18回)
抜歯 有(【上顎】両側4番【下顎】左側4番、右側5番)
矯正の装置 裏側矯正(舌側矯正)
副作用、リスク 歯肉退縮,歯根吸収,疼痛,咬合の違和感,装置の違和感,虫歯,歯肉炎
前歯の凸凹・口元下げたい・裏側矯正

Before

前歯の凸凹・口元下げたい・裏側矯正

After

詳しく見る

上下前歯の凸凹・上の前歯が出ている(治療期間:1年7カ月/通院:23回)

年齢層 20代
性別 女性
主訴 上下前歯の凸凹・上の前歯が出ている
治療費用 検査・診断:税込38,500円/ハーフリンガル矯正(上:裏側/下:表側):税込1,287,000円
治療期間 1年7カ月(23回)
抜歯 無(非抜歯)
矯正の装置 ハーフリンガル矯正(上:裏側/下:表側)
副作用、リスク 歯肉退縮,歯根吸収,疼痛,咬合の違和感,装置の違和感,虫歯,歯肉炎
上下前歯凸凹 上の前歯が出ている ハーフリンガル矯正

Before

上下前歯凸凹 上の前歯が出ている ハーフリンガル矯正

After

詳しく見る

口が閉じづらい・開咬(治療期間:1年11カ月/通院28回)

年齢層 10代
性別 女性
主訴 上の歯が出ている、口元が出ていて閉じづらい、開咬
治療費用 検査・診断:税込38,500円/表側矯正治療(ラビアル矯正):税込1,177,000円
治療期間 治療期間:1年11カ月/通院28回
抜歯 無(非抜歯)
矯正の装置 表側矯正
副作用、リスク 歯肉退縮,歯根吸収,疼痛,咬合の違和感,装置の違和感,虫歯,歯肉炎
開咬・表側矯正の症例

Before

開咬・表側矯正の症例

After

詳しく見る

上下前歯の凸凹(治療期間:11カ月/通院:9回)

年齢層 20代
性別 女性
主訴 上下前歯の凸凹
治療費用 検査・診断:税込38,500円/デザイン矯正(マウスピース矯正):税込850.000円
治療期間 11カ月(9回)
抜歯 無(非抜歯)
矯正の装置 デザイン矯正(マウスピース矯正)
副作用、リスク 歯肉退縮,歯根吸収,疼痛,咬合の違和感,装置の違和感,虫歯,歯肉炎
上下の凸凹 マウスピース矯正

Before

上下の前歯凸凹 マウスピース矯正

After

詳しく見る

上顎前歯が出ている・口が閉じづらい(治療期間:1年3カ月/通院:22回)

年齢層 20代
性別 男性
主訴 上顎前歯が出ている・口が閉じづらい
治療費用 検査・診断:税込38,500円/ハーフリンガル矯正(上:裏側/下:表側):税込1,287,000円
治療期間 1年3カ月(22回)
抜歯 有(上顎両側4番)
矯正の装置 ハーフリンガル矯正(上:裏側/下:表側)
副作用、リスク 歯肉退縮,歯根吸収,疼痛,咬合の違和感,装置の違和感,虫歯,歯肉炎
上顎前歯が出ている 口が閉じずらい ハーフリンガル

Before

上顎前歯が出ている 口が閉じずらい ハーフリンガル

After

詳しく見る

上顎前歯が出ている・前歯の凸凹(治療期間:1年11カ月/通院:24回)

年齢層 20代
性別 女性
主訴 上の前歯が出ている・全体的な凸凹
治療費用 検査・診断:税込38,500円/ハーフリンガル矯正(上:裏側/下:表側):税込1,287,000円
治療期間 1年11カ月(24回)
抜歯 有(上顎両側4番、下顎両側4番)
矯正の装置 ハーフリンガル矯正(上:裏側/下:表側)
副作用、リスク 歯肉退縮,歯根吸収,疼痛,咬合の違和感,装置の違和感,虫歯,歯肉炎
上の前歯が出ている・叢生 ハーフリンガル矯正

Before

上の前歯が出ている・叢生 ハーフリンガル矯正

After

詳しく見る

上顎前歯が出ている(治療期間:1年10カ月/通院:27回)

年齢層 30代
性別 女性
主訴 上顎前歯が出ている
治療費用 検査・診断:税込38,500円/ハーフリンガル矯正(上:裏側/下:表側):税込1,287,000円
治療期間 1年10カ月(27回)
抜歯 有(上顎両側4番)
矯正の装置 ハーフリンガル矯正(上:裏側/下:表側)
副作用、リスク 歯肉退縮,歯根吸収,疼痛,咬合の違和感,装置の違和感,虫歯,歯肉炎
上の前歯が出ている ハーフリンガル矯正

Before

上の前歯が出ている ハーフリンガル矯正

After

詳しく見る